You are using an outdated browser. For a faster, safer browsing experience, upgrade for free today.

Loading...

Invisalign


invisalign

If you have crooked teeth you may realise how big impact it can have on your life. At our practice we understand how important it is to have the confidence to smile.

It’s never too late to straighten your teeth and the most up-to-date tooth straightening systems are available here at Your Dentist Edinburgh.

invisalign_slogan

Invisalign uses a series of clear aligners in place of traditional metal braces. The revolutionary technology straightens your teeth with a series of clear customised removable aligners, which are similar to thin gum shields.

The aligner is a piece of medical grade plastic that fits over the teeth like a glove fits over a hand. People can hardly tell you are wearing them. Little by little your teeth move gently until they are straightened to the final position you feel is right for you.

Invisalign is suitable for teenagers, adults, people with crooked teeth, with spaces between their teeth or people who have had braces before. The treatment will usually last from 8-24 months.

Dental Implants


dental_implants

A dental implant is an artificial root, which is highly realistic, permanent replacement for one or more missing teeth. They look and feel very natural and enable you to eat and speak with confidence as well as improving the way your smile looks.

The implant itself is a small titanium rod which is precisely set into your jawbone. Over time the bone and implant bond together forming a strong and permanent base very much like a false tooth root.

Implants can have crowns or bridges fitted on top, replacing one or more missing teeth. Patients with many missing teeth can be fitted with special dentures, held firmly in place by implants, thus making it much easier to eat and speak without embarrassment.

Teeth whitening


Whitening is a process where the tooth discoloration is ‘whitened’ to a lighter shade. It removes the staining agent through chemical means. It is a safe procedure when carried out under professional supervision. Treatment results usually depend on the severity of the discoloration.

Is it Safe?

Teeth whitening carried out professionally is safe and does not damage the teeth. You may experience some degree of sensitivity following teeth whitening treatment, however, this is usually temporary and subsides very quickly.

The dentist will recommend the most ideal method based on your oral condition after an in-office examination to establish the cause and nature of your tooth discoloration, as well as provide you with more information on the various types of professional whitening kits we can get for you.

Crowns & Bridges


Crowns

A crown, or cap, is a tooth-shaped covering that completely encases a tooth to restore its strength, as well as its appearance.

Crowns are commonly used to protect and restore weakened and damaged teeth, and are a strong and long-lasting restorative measure, but could eventually need to be replaced.

Like fillings, they come in a variety of materials, but because of a crown’s higher visibility, porcelain crowns that mimic the appearance of a tooth are by far the most popular choice.

On the NHS we can offer a white bonded crown for the front teeth, and a metal coloured crown for the rear teeth.

Bridges

A porcelain fixed bridge replaces missing teeth by using the surrounding teeth as a foundation. This creates a literal “bridge” between the remaining teeth and the missing teeth.

Dental porcelain is a great product because it can be shaped to replicate original teeth and fit comfortably within the established bite pattern. Porcelain is also very durable, will withstand most natural tooth functions, and can vividly mimic tooth enamel with its glass-like whiteness and translucence, which allows light to penetrate and scatter as it does with natural organic teeth.

Childsmile


Childsmile

Childsmile is a national programme designed to improve the oral health of children in Scotland and reduce inequalities both in dental health and access to dental services.

Visit www.child-smile.org.uk for more information on the programme.

Porcelain veneers are thin pieces of porcelain used to recreate the natural look of teeth, while also providing strength and resilience comparable to natural tooth enamel. It is often the material of choice for those looking to make slight position alterations, or to change tooth shape, size, and/or colour.

Porcelain laminate veneers consist of a compilation of several thin ceramic layers which replace original tooth enamel, and an adhesive layer. To apply a veneer, a very small amount of the original tooth enamel must be removed, usually less than a millimeter. This is essential as it creates room for the porcelain veneer to fit within the mouth and most accurately restore natural tooth function while creating an even better appearance than the original tooth.

Porcelain veneers are a very successful option in many situations where the original tooth has developed poor color, shape, and contours. It is also a good choice for fractured teeth, gaps between teeth, and in some situations where the tooth position is compromised and there are minor bite-related problems. For some people, superficial stains do not respond well to tooth whitening or bleaching. In these situations, a porcelain veneer may be the best option.

Hygiene services

It is usually recommended for everyone to have a scale and polish provided on a regular basis to remove any hardened plaque and staining that can build up on your teeth that you will not be able to remove with brushing alone. It is important to remove this build-up as it creates a rough surface which encourages the further build-up of calculus (tartar) to accumulate on the teeth and can lead to gum disease and eventual tooth loss if not addressed. Your dentist will be able to provide you with the appropriate frequency of hygiene appointments to suit your individual needs.

We provide Scale and Polish under NHS and also private deep cleaning.

Please note if you are currently registered with the practice, you can give us a call or book your appointment at reception anytime.

Dentures are removable dental appliances that are used to replace missing teeth, and help restore and enhance your smile. They come in two types, complete and partial, depending on whether all or only some of your teeth have been lost.

They could be made of metal, acrylic or plastic.

Complete

Complete dentures are used if you have lost all of your natural teeth, and can be either conventional or immediate.

Conventional dentures are created to fit your mouth after your teeth have been removed, and are typically ready to be placed about two or three months after removal. Immediate dentures are made beforehand, and are ready for use upon removal of the teeth – however, the gums will gradually shrink after the teeth are removed, so immediate dentures will eventually stop fitting, and are best used as a substitute while conventional dentures are made.

Partial

Partial dentures are used if only some of your teeth are missing, and consist of replacement teeth affixed to a plastic base.

Partial dentures not only give you a complete smile, but protect your remaining natural teeth by filling gaps and and preventing the teeth from shifting position.

During an initial consultation your dentist will inspect the soft and hard tissue in your mouth. By inspecting the soft tissue your dentist is looking for any abnormalities, halitosis (bad breath) signs of periodontal disease or mouth cancer. While inspecting your hard tissue (teeth) your dentist will be checking for decay, bite anomalies, seeing how your teeth can be improved functionally as well as how your smile can be enhanced aesthetically.

Prevention is better than cure!

That is why we recommend regular dental checkups and hygiene visits which could be anything between 3-12 months depending upon your needs. Your dentist will recommend the most suitable interval for your next check-up. Regular examinations and cleaning are a necessity for healthy teeth, and the application of sealants and fluoride treatments will help greatly in maintaining the health and beauty of your smile.

Digital radiography is the cutting edge of dental x-ray technology

Rather than the x-ray films that were once used, digital x-rays use an electronic sensor that immediately saves the image to a computer, where they can be quickly viewed, and problem areas can be easily focused on, identifying any issues with your teeth faster and more efficiently.

X-rays are an essential part of regular dental examination, because they reveal internal problems that could otherwise not be detected with even the most thorough exam.

Periodontics is an area of dentistry that focuses on identifying, preventing, and treating periodontal, or gum diseases. Gum disease typically begins with gum inflammation, called gingivitis, and progresses into more serious issues from there, leading to pain, irritation, and even bleeding.

Occasionally, periodontal disease is more insidious, and shows no easily identified symptoms. Periodontal disease is the number one cause of tooth loss in adults in first-world countries,and every measure should be taken to treat it before it becomes severe.

Periodontal disease can manifest itself in a variety of ways, all of which should receive attention before they worsen and begin to cause more serious problems, and eventually result in the actual loss of teeth.

Some of these warning signs of periodontal disease include:
  • Bleeding of gums
  • Gums that recede, or pull away from your teeth
  • Halitosis (bad breath)
  • Changes in the way your teeth fit when they bite
  • Loose or separating teeth.

If you are suffering from any of these problems, it is recommended that you schedule an appointment as soon as possible. If your periodontal disease is caught quickly enough, our staff can keep your smile intact and healthy.

Effective use of fluorides and other advances in dental care have done a great deal to prevent tooth decay, but teeth are still far from immune to decay and damage. Sometimes, restorative measures must be taken to fix the damage and prevent it from worsening, so your smile can be beautiful, healthy, and functional again.

We will only recommend the treatment that we believe is right for you and your teeth, and that will work best to give you the smile that you want.

Cavities, as well as cracks and breaks in teeth, will be filled by your dentist after removing decayed tooth material, to preserve the tooth’s form, function, and integrity. There are several different filling materials to choose from. A couple of the most popular options are:

Amalgam(silver)

Often called a ‘silver’ filling due to its silver-like appearance, dental amalgam is a strong, durable material, as well as being the most inexpensive kind of dental filling, which makes it one of the most popular fillings today. However, because of amalgam’s metallic appearance, many do not consider it to be very aesthetically pleasing, so it is typically used in back teeth, where it is less visible.

Created with a mixture of plastic and glass, composite resin is popular for its ability to mimic the appearance of your teeth, allowing it to blend in seamlessly and improve the aesthetic beauty of your smile.

Composite fillings provide strong support for tooth structure, and along with amalgam, are the other most popular filling in use. Because of their aesthetic value in your smile, composite fillings are frequently used to repair front teeth, where they are most visible.

We are highly trained and equipped to perform minor oral surgical procedures necessary to preserve and improve your smile, and your health.

We understand that the prospect of undergoing oral surgery can make some people anxious, but our patients can rest assured that they are in competent, capable, caring hands.

Tooth Extractions

Basic tooth extraction is a very safe procedure that may be necessary for any number of reasons. Most commonly, a tooth is too badly damaged or decayed to be effectively repaired, and should be extracted to preserve the health of the rest of your mouth. Other times, severe tooth decay may reach the pulp of your tooth, causing an infection. If the infection is too severe to be treated with antibiotics or root canal therapy, the tooth must be removed to stop the infection from spreading. Teeth may also be removed if their size or position is abnormal to the point that they would greatly obstruct necessary orthodontic procedures.

Wisdom Teeth Extractions

The four backmost teeth that emerge in your mouth are your third molars, or wisdom teeth. They usually come in during the ages of 17-21 (a supposed age of maturing, or gaining wisdom, thus the tooth’s common name) and tend to be not only unnecessary, but harmful.

In a few cases, wisdom teeth will come in healthy, correctly positioned, and functional, and in these cases, it may not be necessary to remove them. Very often, however, wisdom teeth do not have adequate room to erupt, and can cause very serious problems, the risk of which greatly outweighs the negligible benefit of keeping them.

Wisdom teeth can impact with your other teeth, damaging them and pushing them out of alignment. Unhealthy wisdom teeth may inflame the tissue of your gums, resulting in swelling, and even pockets between your teeth where bacterial colonies can grow. It’s even possible for cysts to form around the new teeth, causing lasting nerve damage if left untreated.

A root canal is a restorative procedure typically used to repair and save a tooth that has become infected or badly decayed.

During a root canal, a hole is drilled to access the tooth’s damaged or infected nerve and pulp – that is, the tissue inside of the tooth – which are then removed, and the inside is thoroughly cleaned of bacteria and debris.

The tooth is then sealed up with special dental paste and compounds. Root canal therapy may be followed up with other restorative treatments afterwards, depending on the needs of the tooth.

Root canals are often thought to be painful, but the great majority of patients report no more pain than they experience having a filling replaced.

Root canals, in fact, not only save teeth that would otherwise have to be removed, but completely relieve the excruciating pain of tooth infection.

Recommended treatments for bruxism (teeth grinding) include behavioural therapies and using mouth guards or mouth splints.

Other treatments, such as muscle relaxation exercises and sleep hygiene measures, may also help you manage your symptoms.

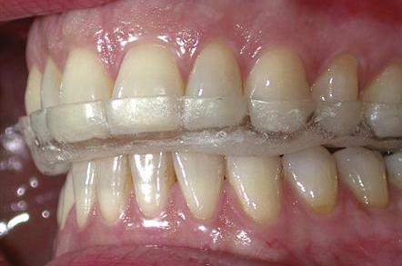
Mouth guards and mouth splints

If you grind your teeth while you're asleep, you may need to wear a mouth guard or mouth splint at night. These even out the pressure across your jaw and create a physical barrier between your upper and lower teeth to protect them from further damage. They can also reduce any grinding noises you make at night.

Mouth guards are similar in appearance to those used in sports such as boxing. They're usually made out of bendy rubber or plastic and can be made by your dentist to fit your mouth. You'll usually have to pay for this type of custom-made dental appliance.

Mouth guards are also available to buy from your local pharmacist. However, it's unlikely to fit as well as one made by your dentist.

A mouth splint (also known as an occlusal splint or bite plate) is made from harder plastic and fits precisely over your upper or lower teeth. Mouth splints are no more effective than mouth guards in reducing the symptoms of bruxism. They tend to last for years, whereas mouth guards usually last for less than a year. However, mouth splints are more expensive.

Although mouth guards and splints may help reduce muscle activity in your jaw at night, they're only able to control the condition, not cure it.

Treating The Underlying Cause

Psychological treatments, such as cognitive behavioural therapy (CBT), can be used to treat any underlying psychological problems, such as stress and anxiety, that may be causing you to grind your teeth.

CBT aims to help you manage your problems by changing the way you think and how you act. A specially trained therapist will encourage you to talk about how you think about yourself, the world and other people, and how your actions affect your thoughts and feelings.

If your bruxism is stress related, it's important that you try to relax and get a good night's sleep. There are a number of things you can do to help you wind down before you go to bed. These include:

  • yoga
  • deep breathing
  • massage
  • reading
  • having a bath
  • listening to music

Different things will work for different people. Your GP will also be able to recommend some additional stress management techniques.

Breaking the habit

Habit-reversal techniques are designed to break your teeth grinding habit. However, there's no scientific evidence to suggest that using habit-reversal techniques will cure bruxism. If you grind your teeth while you're awake, it might be useful to record how often you grind your teeth each day. You can then work out when you're more likely to do it and why – for example, when you're concentrating or stressed.

Being more aware of your habit will make it easier to break. To break the habit, you could train yourself to relax your jaw when you feel yourself grinding or clenching. For example, you could open your jaw slightly or gently place your tongue between your upper and lower teeth.

Habit-reversal techniques may be used by a specially trained therapist, or you can try them yourself using a computer programme or self-help book. Your GP will be able to advise you.

Treating and preventing dental problems

It's important that you have regular dental check-ups and that any problems caused by your teeth grinding are treated as soon as possible to prevent further damage.

For example, if your grinding leads to a cracked tooth and is left untreated, the nerve in your tooth could die and a dental abscess might develop. As a result, you may need to have root canal treatment. In severe cases, your tooth could actually split in two. If this happens, your dentist won't be able to save the tooth and it will need to be taken out.

Dental problems, such as misaligned, cracked, crooked or missing teeth, can usually be treated with reconstructive dental treatments, such as false teeth, overlays and crowns. These treatments can sometimes reshape the chewing surface of your teeth and stop you grinding. You'll usually have to pay for this type of dental treatment and it can often be expensive.

Medication

Medication isn't usually used to treat bruxism. But non-steroidal anti-inflammatory drugs (NSAIDs) such as ibuprofen may help relieve any pain or inflammation you have around your jaw as a result of grinding your teeth.

TMJ (the Temporomandibular Joint) is the jaw joint that allows the jaw to open and close. This is a complex area and problems that affect the jaw, such as your teeth not meeting together properly, or clenching or grinding your teeth, can go on to create further problems. If you suffer from difficulty in opening your mouth or pain on opening chronic headaches or migraines, or pain in the neck, shoulder, jaw and ear, we may be able to help. Treatments are often relatively simple, painless and can make a huge difference to your quality of life.

Our treatments include Occlusal analysis and treatment, as well as the use of suitable Bite Guards.

TMJD, or temporomandibular joint disorders, also sometimes known as TMJ or TMD, is the set of diseases and disorders characterized by inflammation of the jaw joint.

Possible known contributing factors of TMJD include: injury to the jaw; teeth grinding or jaw clenching; arthritis; infection; hormones; auto-immune diseases and genetics.

An individual with TMJD may experience any or all of the following symptoms: discomfort when opening or closing the mouth; inability to close or open the mouth; pain in the neck, shoulder, back or head; clicking or popping sound in the jaw; feeling of an irregular bite; swelling of the face; and difficulty eating, speaking, swallowing, chewing or breathing.

TMJ disorders may fall under the following categories: inflammatory joint disease, such as arthritis, capsulitis, or synovitis; myofascial pain where trigger points are present in muscles around or near the jaw; and internal derangement of the joint, where the disc that acts as a cushion between the mandible and skull is displaced or deteriorated.

Another means of categorizing the set of conditions known as TMJ disorders is myogenous, which refers to affected muscles of the jaw and mouth, and arthrogenous, which refers to the hard and soft tissues or the temporomandibular joint.

High-risk groups include those with a structural deformity of the jaw or teeth, those who experienced an injury to the jaw, face or neck, highly stressed individuals and those with diseases such as osteoarthritis, rheumatoid arthritis, fibromyalgia, myofascial pain and sleep disorders.

As the causes and symptoms of TMJD are not fully understood, and because the symptoms of TMJD are also present in a number of conditions including toothache, ear infection and headaches, TMJD is often difficult to diagnose.

Treatment options for TMJD include: cold and hot compress; stretching and exercise; eating soft, small-bite-sized foods; relaxation techniques; over-the-counter and prescription pain management medications; and nightime dental appliances. Surgery and other irreversible solutions meant to alter the bite should be carefully considered, as they have not been shown to be effective in the treatment of TMJD.

TMJD symptoms may vary from mild to severe, and mild cases frequently become better in a matter of weeks or months with common-sense care such as applying ice and preventing additional strain on the jaw and surrounding muscles.

When cases of TMJD are severe and persistent, there may be no cure for the condition. Instead, ongoing management of symptoms is required. In these cases, becoming educated about the condition, seeking advice from healthcare professionals from a number of relevant specialties, and participating in support groups may be of help to an individual.

Code of practice for patient complaints


In this practice we take complaints very seriously indeed and try to ensure that all our patients are pleased with the services we provide. When patients complain, they are dealt with courteously and promptly so that the matter is resolved as quickly as possible. This procedure is based on these objectives.

Our aim is to respond to complaints in the way in which we would want our complaint about a service to be handled. We learn from every mistake that we make and we respond to customers' concerns in a caring and sensitive way.

  1. The responsible persons for dealing with any complaint about the service which we provide is our general Manager Deborah Macleod or Dr Osama Mochli.
  2. If a complaint is about any aspect of clinical care or associated charges it will normally be referred to the dentist, unless the patient does not want this to happen.
  3. If a patient complains on the telephone or at the reception desk, we will listen to their complaint and offer to refer him or her to Deborah Macleod. If Deborah is not available at the time, then the patient will be informed that we will pass on their details and ask Deborah to contact them to discuss their complaint. Deborah will then arrange a time with the dentist for a meeting to take place to discuss their concerns if this is required.
  4. If the patient complains in writing the letter will be passed on immediately to Deborah Macleod.
  5. We will acknowledge the patient's complaint in writing and enclose a copy of this code of practice as soon as possible, normally within three working days. We will seek to investigate the complaint within twenty working days of receipt to give an explanation of the circumstances which led to the complaint. If the patient does not wish to meet us, then we will attempt to talk to them on the telephone. If we are unable to investigate the complaint within twenty working days we will notify the patient, giving reasons for the delay and a likely period within which the investigation will be completed.
  6. We will confirm the decision about the complaint in writing immediately after completing our investigation.
  7. Records are kept of any complaint received.
  8. If patients are not satisfied with the result of our procedure then a complaint may be made to:
    • The Dental Complaints Service (08456 120 540) for complaints about private treatment
    • The General Dental Council, 37 Wimpole Street, London, W1M 8DQ
      Scottish Public Service Ombudsman, 4 Melville Street, Edinburgh EH3 7NS

Dyce Dental Practice, Unit 8/9, ASDA Shopping Centre, Riverview Drive, Aberdeen, AB2 7NG. Telephone 01224-722662. Shetland Surgery Ltd trading as Dyce Dental Practice is a credit broker not a lender. Registered in Scotland No. SC480772 . Registered Address: 8/9 Asda Shopping Centre, Riverview Drive, Aberdeen, Aberdeenshire, AB21 7LW.